Odstranjevanje belih lis in pigmentacij na zobeh

 

BELE LISE so definirane kot kredaste in opačne lezije v sklenini. Po izvoru so lahko prirojene (zaradi prezgodnjega rojstva), lahko nastanejo zaradi napak v razvoju sklenine (hipoplazija molarjev in sekalcev), kot posledica poškodbe, zaradi fluoroze ali pa je to začetni, površinski karies (npr. bele lise, ki nastanejo pri ortodontski terapiji).


Odpravo belih lis opravimo s postopkom:  mikroabrazija


Je preprost postopek za odstranjevanje rahlih belih in tudi rjavih lis. Gre za kemično in mehansko abrazijo povrhnjega dela sklenine, zato je minimalno invaziven postopek. Naredimo ga v eni seji, tako da so rezultati vidni takoj.

 

 

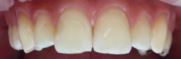
 Kredaste lise na zgornjih sprednjih zobeh kot posledica nošenja ortodontskega aparata. Na obzobni dlesni je bela zaščita.   

 

 

 

 

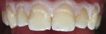
 Po mikroabraziji lise niso več vidne.

 

 

 

Pri večjih in globokih lisah lahko naredimo estetske plombe ali keramične luske.

 

 

Črne ali rjave PIGMENTACIJE so posledica vsakdanjih razvad kot so kajenje, pitje kave, rdečega vina, pravega čaja, sirupov in uživanje hrane z močnimi barvili (višnje, borovnice...). So le estetsko moteče, za zobe in obzobna tkiva pa niso škodljive. Ne smemo jih zamenjati z zobnim kamnom, ki raztaplja obzobno kost. Lahko so tudi posledica izločanja posebnih pigmentov neškodljivih bakterij, ki živijo v ustih. Za takšne paciente je značilno, da nimajo kariesa. 

 

Odpravo pigmentacij opravimo s postopkom:  peskanje

Z intraoralnim peskalnikom najlažje odstranimo pigmentacije na zobeh. Peskanje zob je neboleče, poteka hitro, površinska zabarvanja zob pa odstrani brez poškodb sklenine. Pomagamo si tudi z zvočnim čistilcem in polirniki. Učinek je opazen takoj, možno pa, da se po postopku začnejo zopet pojavljati.

 

 

 

FaLang translation system by Faboba

 AKTUALNA OBVESTILA

 Zaradi gredbenih del priporočamo varni dostop do ordinacije
po Savinjskem nabrežju 
(ob reki Savinji).

         

         

 

 

              

 

 

 

                

                   

 

 

 

 

 

              

         

 

 

 

 

KONTAKTNI PODATKI

ZOBOZDRAVSTVO BENEDEK, D.O.O.
Valvasorjev trg 4,
3270 Laško
Zemljevid - kako do nas
tel: 064/ 157 665   
e-posta: info@benedek.si

DELOVNI ČAS

Ordinacijski čas za zdravstveno zavarovanje:
ponedeljek, sreda, petek: 7:00 – 15:00
torek, četrtek: 11:00 – 20:00

Ordinacijski čas za samoplačnike:
po dogovoru

Za pravilno delovanje strani uporabljamo piškotke Podrobne informacije..

  Sprejemam piškotke.